
Radiology of Abdomen, Pelvis, and Perineum -- Normal CT Scans of the Upper
Abdomen with Oral and Intravenous Contrast
The Pennsylvania State University College of Medicine
This site has been accessed
times since October 13, 1998
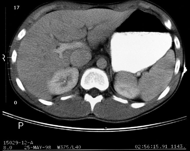
Identify -- stomach, liver, right kidney, left kidney, aorta, inferior
vena cava, diaphragmatic crura, portal vein, spleen
Note. Radioactive iodine is ingested and images are obtained
in different projections.
LAO - Left anterior oblique
RAO - right anterior oblique
To view at full resolution right mouse click on image and select "view
image."
The Structural Basis of Medical
Practice
(Copyright Protected - L.A. Evey, Ph.D., D.S. Hartman, MD)
(Updated October 31, 1998)