
Radiology of Abdomen, Pelvis, and Perineum -- Normal CT Scans of the Upper
Abdomen with Oral and Intravenous Contrast
The Pennsylvania State University College of Medicine
This site has been accessed
times since October 13, 1998
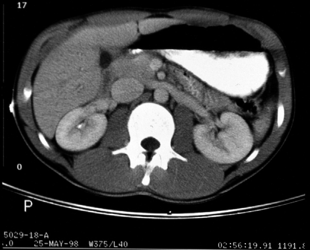
Identify -- stomach, liver, right kidney, left kidney, aorta, inferior
vena cava, pancreas, superior mesenteric artery and vein, spleen, small
intestine
To view at full resolution right mouse click on image and select "view
image."
The Structural Basis of Medical
Practice
(Copyright Protected - L.A. Evey, Ph.D., D.S. Hartman, MD)
(Updated October 31, 1998)