
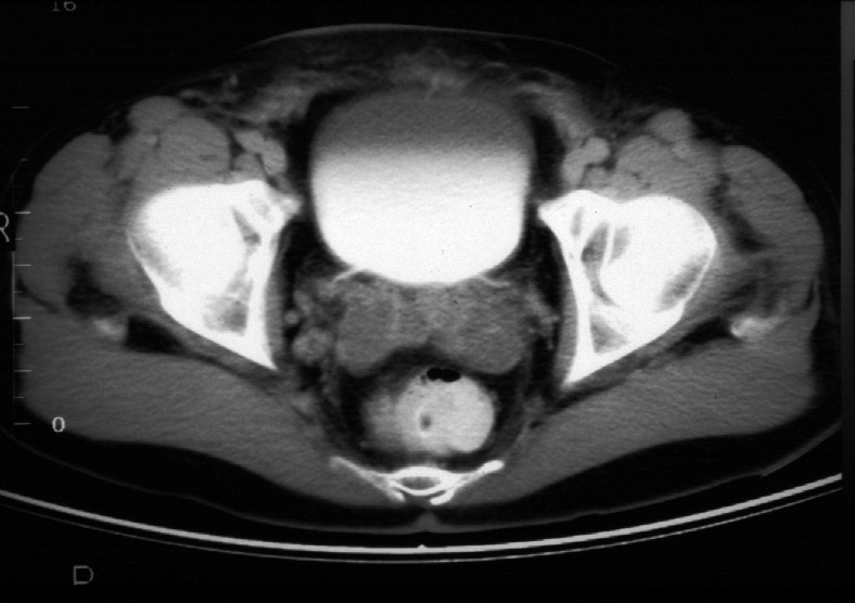
Radiology of Abdomen, Pelvis, and Perineum -- Normal Male CT of the Pelvis
The Pennsylvania State University College of Medicine
This site has been accessed
times since October 13, 1998
Identify -- bladder, rectum, seminal visicles, femoral head
To view at full resolution right mouse click on image and select "view
image."
The Structural Basis of Medical
Practice
(Copyright Protected - L.A. Evey, Ph.D., D.S. Hartman, MD)
(Updated October 31, 1998)