
Radiology - Upper Extremity
Structural Basis of Medical Practice -- Gross Anatomy
The Pennsylvania State University College of Medicine
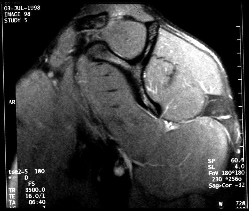
Normal MR of Left Shoulder (medial saggital) -- Identify: coracoid, spine
of scapula, clavicle, supraspinatus muscle, intraspinatus muscle, subscapularis
muscle
To view at full resolution right mouse click on image and select "view
image."
This site has been accessed several times since September 3, 1998
(Copyright Protected)
The Structural Basis of Medical Practice