
Radiology - Upper Extremity
Structural Basis of Medical Practice -- Gross Anatomy
The Pennsylvania State University College of Medicine
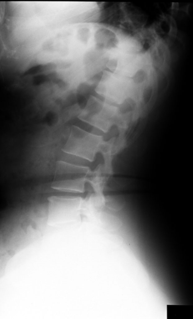
Normal Lumbar Spine (L lateral) Identify: Vertebral body, pedicle, lamina,
spinous process, intervertebral disc
To view at full resolution right mouse click on image and select "view
image."
This site has been accessed several times since September 3, 1998
(Copyright Protected)
The Structural Basis of Medical Practice