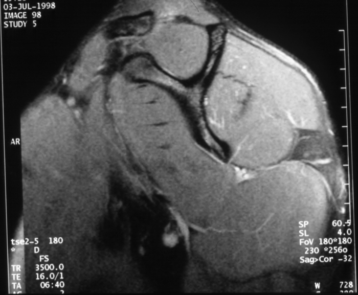
Radiology MS 196 - Normal MR of the Left Shoulder
[ The Structural Basis of Medical Practice ]

Identify: Medial Sagittal - coracoid process, spine of scapula, clavicle, supraspinatus muscle, infraspinatus muscle, subscapularis muscle
This site has been accessed times since August 26, 2000
Top of page
The Structural Basis of Medical Practice
The College of Medicine
of the The Pennsylvania State University
Email: lae2@psu.edu -
Powered by AMD, Linux,
and Apache Server