Physician Assistant and Graduate Anatomy Back Upper Limb Examination Radiology 2020

Radiograph #1

Glenohumeral Joint and Quadrangular Space
Identify: Teres minor, long head triceps, surgical neck humerus, teres major. Axillary nerve, head humerus, glenoid fossa, deltoid, supraspinatus, acromion.

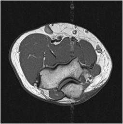
Radiograph #2

Distal Arm and Elbow
Identify: Radial nerve, brachial artery, biceps tendon, basilic vein, cephalic vein, brachialis, Brachioradialis, olecranon process, oleranon fossa, ulnar nerve, median cubital vein, ulnar groove, pronator teres, flexor carpi ulnaris.

Radiograph #3

Wrist and Carpal Tunnel
Identify: Median nerve, flexor pollicis longus, pisiform, scaphoid, flexor carpi radialis, extensor pollicis brevis, extensor pollicis longus, radial artery, palmaris longus, ulnar artery, triquetrum.
arrowbup Top arrowbdown Bottom
CarpalTunnelHorizontalMRIFrench2020 ElbowHorizontalMRIFrench2020 GlenohumeralJointCoronalMRIFrench2020
arrowbup Top
Topic revision: r1 - 09 Nov 2020, LorenEvey
This site is powered by FoswikiCopyright © by the contributing authors. All material on this collaboration platform is the property of the contributing authors.
Ideas, requests, problems regarding Structural Basis of Medical Practice? Send feedback