You are here:
Structural Basis of Medical Practice
>
Main Web
>
PhysicianAssistantHome
>
PhysicianAssistantLowerLimbThoraxWrittenExaminationRadiologyPool
(16 Sep 2020,
LorenEvey
)
Edit
Attach
Physician Assistant Lower Limb and Thorax Written Examination - Radiology Pool
Top
Bottom
Show the table of contents...
Hide
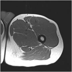
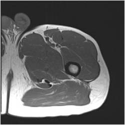
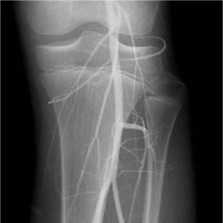
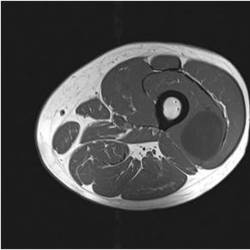
Gallery of Unlabled Radiographs from Lecture (Dr. French) - 2020
Labeled Plates from Lecture (Dr. French) - 2020
Gallery of Unlabled Radiographs from Lecture (Dr. French) - 2020
Show...
Hide
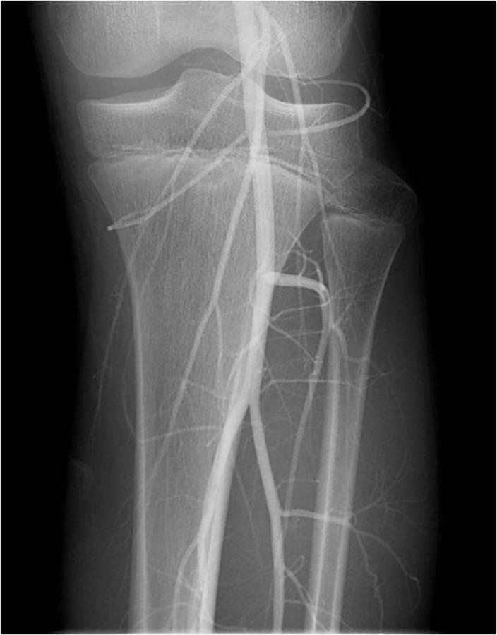
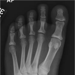
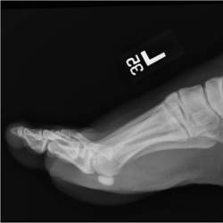
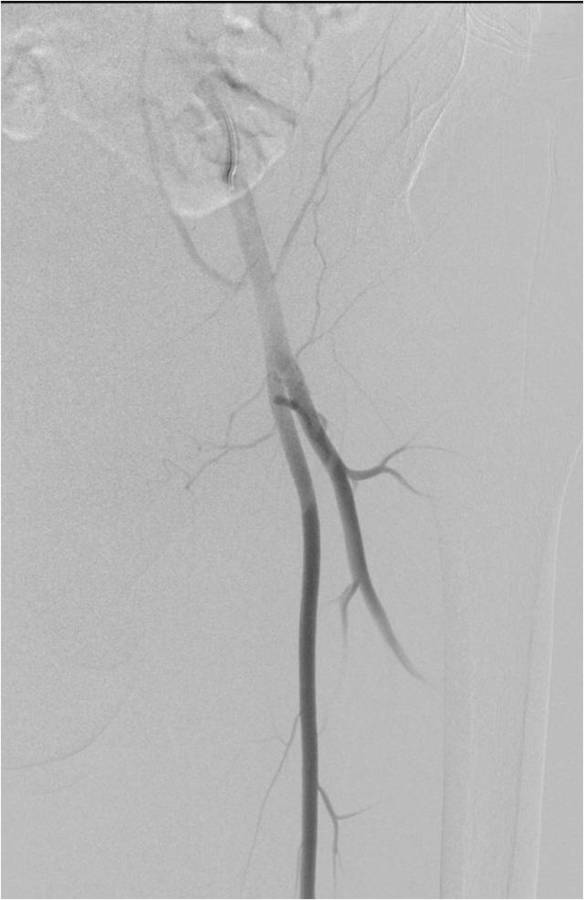
Click a thumbnail to enter the gallery display. Click the file name link at the bottom left of the gallery display to view the image at high resolution.
Top
Bottom
Labeled Plates from Lecture (Dr. French) - 2020
Show...
Hide
RadiologyLowerLimbThoraxQuestionPoolLabeled_01_2020.pdf
Click right side of plate to step forward or left side of plate to step backward.
Top
Bottom
Top
Attachments
($count)
Upload files
Show options
Search:
Sort by:
Name
Date
Author
Size
Type
Results per page:
6
12
24
48
all
Display hidden:
More actions
Insert links
Insert links & hide
Create image gallery
Download
Hide
Unhide
Move
Delete
0
attachment(s)
Select all
Clear all
E
dit
|
A
ttach
|
P
rint version
|
H
istory
: r2
<
r1
|
B
acklinks
|
V
iew wiki text
|
M
ore topic actions
Topic revision: r2 - 16 Sep 2020,
LorenEvey
Main
Log In
Register
Copyright © by the contributing authors. All material on this collaboration platform is the property of the contributing authors.
Ideas, requests, problems regarding Structural Basis of Medical Practice?
Send feedback