Physician Assistant Written Examination Question Pool - Upper Limb and Thorax

Essay answers are to be written in prose during the assigned examination time. Please write your answers in the spirit of communicating to a colleague or a knowledgeable patient. Demonstrate your understanding of anatomy more so than your rote memorization. If you draw a figure, please describe what you have drawn using anatomical terminology. Our aspirations for you are that you write the cookbook, not follow it.

Question Pool for Written Examination in Examination Format (Draft)

Questions are included for the forearm and hand lectures given by Dr. Evey that were harvested from uploaded PPTX files submitted by G. Kincheloe and G. Francis. These 40 True/False questions are culled from all lectures. Expect grammatical tweaks. Changes in wording on the examination may impact whether a question is true or false.

Lecture 18: Upper Limb: Scapular Region, Posterior Arm, Intervals, Spaces, and Scapular Anastomosis - R. Saint-Fort

Essay - Handwritten Prose. 10 Points Each.

  1. A patient complains of shoulder pain and difficulty rotating their arm. An ultrasound reveals edema within the spinoglenoid notch, which could explain weakness in external rotation at the glenohumeral joint. Describe the normal scapular and shoulder anastomosis, including all arterial branches involved and their relationship to any ligaments, scapula borders, and intermuscular spaces. If the axillary a. is ligated immediately distal to the thyrocervical trunk, would this edema affect active collateral circulation? (If yes, explain.) Also, include a brief (2-3 sentences) explanation for why edema within the spinoglenoid notch might result in weak external/lateral rotation of the shoulder.
  2. A 29-year-old police officer receives a gunshot wound to the right shoulder. The bullet causes instability of the glenohumeral joint. Describe the supportive anatomical structures that aid to stabilize and reinforce the shoulder joint, including fibrous tissue, membranes, ligaments, muscles, innervation, function/action, and any relationships. Also, discuss the muscles that assist in upper limb abduction from 0 to 180 degrees and their range of movement.

True/False. 1 Point Each.

  1. The acromial branch of the thoracoacromial trunk is a primary contributor to the scapular anastomosis. (False)
  2. The deltoid branch of the thoracoacromial trunk is a primary contributor to the scapular anastomosis. (False)
  3. The ascending branch of the profunda brachial artery is a primary contributor to the shoulder anastomosis. (True)
  4. The shoulder anastomosis provides adequate blood supply to the upper extremity during acute ligation of the axillary artery proximal to the subscapular artery. (False)
  5. The scapular anastomosis provides adequate blood supply to the upper extremity during acute ligation of the axillary artery proximal to the subscapular artery. (True)
  6. Compression of structures passing through the quadrangular space causes numbness of the upper lateral arm. (True)
  7. Acute axillary artery ligation proximal to the subscapular artery causes retrograde blood flow in the circumflex scapular artery. (True)
  8. Compression of structures in the triangular interval causes wrist drop and weakened elbow flexion. (True)
  9. Abducting the arm from anatomical position to 180 degrees recruits the suprascapular, axillary, spinal accessory, and long thoracic nerves. (True)
  10. The supraspinatus muscle uniquely contributes to the initial (0-15 degrees) movement of abduction of the arm. (True)

arrowbup Top arrowbdown Bottom

Lecture 19: Thorax: Introduction to the Typical Spinal Nerve and Autonomic Nervous System - M. Johnson

Essay - Handwritten Prose. 10 Points Each.

  1. Review the anatomy of a typical spinal nerve.

True/False. 1 Point Each.

  1. Ventral and dorsal roots combine to form a spinal nerve. (True)
  2. A spinal nerve diverges into a dorsal and ventral ramus. (True)
  3. A white ramus branches from a spinal nerve (traditional account) distal to the branching of a grey ramus. (True)
  4. Lateral branches of anterior spinal nerves supply cutaneous innervation to the lateral margin of the breast. (False)
  5. Typically, all dorsal rami and ventral rami T2-T11 are segmental. (True)
  6. Ventral rami C1-T1 and T12-S4 enter into somatic plexuses. (True)
  7. High threshold General Visceral Afferent sensory fibers (nociceptive reflexes) mostly follow sympathetic pathways to corresponding spinal cord levels. (True)
  8. Low threshold General Visceral Afferent fibers (homeostatic reflexes) mostly follow parasympathetic pathways. (True)
  9. Cardiac ischemia triggers nociceptive information that follows sympathetic pathways to the dorsal horns of spinal cord levels T1-T4 by way of dorsal root ganglion cells. (True)
  10. The intercostobrachial (lateral branch of intercostal nerve T2), medial brachial, and medial antebrachial cutaneous nerves convey General Somatic Afferent fibers to the dorsal horns of spinal cord levels T1-T4 by way of dorsal root ganglion cells. (True)
  11. Nociceptive signalling from the heart projects to the same spinal cord levels as does cutaneous sensation from the medial aspect of the arm and forearm. (True)
  12. Nociceptive signals from the heart are referred to somatic dermatomes that share the same spinal cord level projections. (True)
  13. Disruption of the grey ramus that communicates with the T2 spinal nerve causes flushing, warmth, dryness, and loss of "goose bumps" along the medial aspect of much of the upper limb. (True)
  14. Questions 7-9 have a pattern in common. (True)
arrowbup Top arrowbdown Bottom

Lecture 20: Surface Anatomy, Superficial Veins, Cutaneous Nerves, and Skeleton Upper Limb - M. Johnson

Essay - Handwritten Prose. 10 Points Each.

  1. The median cubital vein is frequently used for venipuncture, or blood draw. Describe the superficial venous drainage of the upper limb. Include major vessels, their origins, pathways, and vessels they drain into. Explain why the median cubital vein is a preferred vessel for venipuncture.
  2. A 56-year old patient presents with pain at the base of the neck and shoulder region. This pain is exacerbated when you place the patient in Trendelenburg position (body is supine on a 15-30 degree incline with the feet above the head) and apply pressure to the upper right quadrant. Explain the phenomenon known as, “referred pain” and why visceral and somatic pain can present in a region other than the origin of the painful stimulus. Describe the functional components involved in this phenomenon and why the brain misinterprets this incoming information, specifically.
  3. The palmar cutaneous branch of the median nerve is useful in distinguishing between proximal and distal median nerve neuropathies. Explain, in detail, the two regions where the median nerve can be compressed. Indicate the motor and sensory deficits associated with each region and the relevant branches of the median nerve affected.

True/False. 1 Point Each.

  1. The ulnar aspect of the dorsal venous arch gives rise to the basilic vein and the radial side gives rise to the cephalic vein.
  2. The cephalic vein passes through the investing fascia at the quadrangular space.
  3. The basilic vein passes through the investing fascia at the deltopectoral triangle.
  4. The median cubital vein passes deep to the bicipital aponeurosis.
  5. The dorsum of the hand receives cutaneous innervation by branches of the ulnar, median, and radial nerves. (True)
arrowbup Top arrowbdown Bottom

Lecture 21: Pectoral Region and Breast - C. Werner

Essay - Handwritten Prose. 10 Points Each.

  1. A thirty one year old female was diagnosed with invasive breast cancer. Account for the spread of breast cancer by way of contiguity (spread to adjacent tissue) to the lung and lymphogenous spread to other body regions. How are internal structures of the breast impacted by a cancerous mass.

True/False. 1 Point Each.

  1. Montgomery glands secrete pheromones and provide antibacterial function.
  2. The mammary crest extends from the pectoral region to the inguinal region.
  3. Lymphogenous spread of breast cancer occurs at the superficial inguinal lymph nodes.
  4. Lactiferous sinuses are enlarged regions of the lactiferous ducts located proximal to circular muscle at the nipple. (True)
  5. Upper lateral lymphatic drainage of the breast (Tail of Spence) is primarily to central nodes of the axilla. (True)
  6. The retromammary space is deep to the deep layer of superficial breast fascia and superficial to the pectoral fascia. (True)
  7. The location of the inframammary fold remains relatively constant regardless of pregnancy or age. (True)
  8. Spread of cancer from one breast occurs by commucations between the left and right parasternal nodes. (True)
  9. The upper margin of the breast receives cutaneous innervation by branches of the supraclavicular nerves. (True)
  10. The medial margin of the breast receives blood supply by branches of the internal thoracic artery.
arrowbup Top arrowbdown Bottom

Lecture 22: Axilla - Dr. Evey

Essay - Handwritten Prose. 10 Points Each.

  1. Discuss the anatomy of the axilla. Include contents, relationships, boundaries, fascial specializations, vasculature, innervation, lymphatics, muscles and movements.
  2. Discuss the path of the posterior cord of the brachial plexus and its branches in the axilla, shoulder, and proximal upper extremity.

True/False. 1 Point Each.

  1. The long thoracic nerve innervates serratus posterior inferior and serratus posterior superior and, thus, mediates stability of the scapula. (False)
  2. The lower subscapular nerve innervates two muscles and each of these muscles laterally rotate the arm. (False)
  3. A lesion of the axillary nerve within the axilla causes uncompensated loss of abduction and medial rotation of the arm. (False)
  4. A lesion of the posterior cord proximal to the upper subscapular nerve results in uncompensated loss of medial rotation.
  5. A lesion of the upper root of the brachial plexus weakens protraction of the scapula.
  6. A lesion of the long thoracic nerve weakens complete abduction of the arm. (True)
  7. Entrapment of the suprascapular nerve at the superior transverse scapular notch could cause uncompensated loss of arm abduction from 0 - 15 degrees.
  8. A lesion of the axillary nerve weakens every possible movement at the glenohumeral joint. (True)
  9. A lesion of the radial nerve at the spiral groove causes loss of extension at the elbow. (False)
  10. A total lesion of the median nerve causes ape hand.
arrowbup Top arrowbdown Bottom

Lecture 23: Brachial Plexus and Nerve Injury - M. Pearce-Clawson

Essay - Handwritten Prose. 10 Points Each.

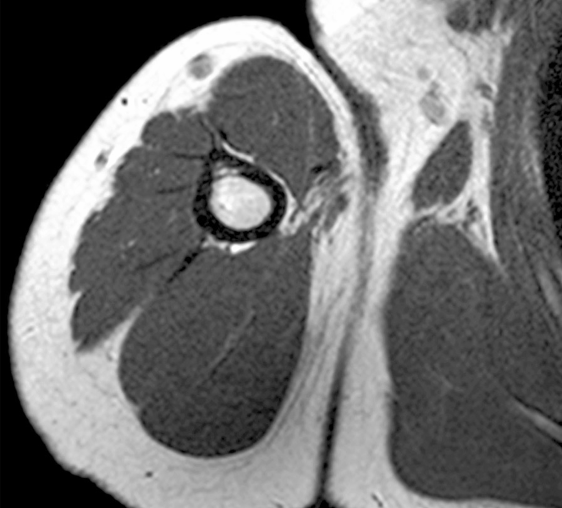
  1. A 21 year old man presents to the clinic presenting weakened elbow extension, wrist drop and paresthesia of the posterior arm, lateral arm, dorsal forearm and hand. While you are gathering his history he mentions that it was his 21st birthday last night and had one too many to drink and ended up falling asleep while sitting on his living room table with his arm hanging over the back of the chair. Upon hearing this you diagnose the patient with Saturday night palsy. Discuss the anatomy of the radial nerve with regard to Saturday night palsy. Include structures associated with the pathway of the radial nerve and its branches through the upper limb, muscles, cutaneous branches. What classification of nerve injury would you give this injury and approximately how long will it be until the patient recovers?

True/False. 1 Point Each.

  1. Complete injury to the C5 root of the brachial plexus weakens retraction, protraction, elevation, and rotation of the scapula. (True)
  2. Complete injury to the C5 root of the brachial plexus lessens the longitudinal axis of respiratory movement. (True)
  3. Complete injury to the upper three roots of the brachial plexus causes winging of the scapula. (True)
  4. Complete injury to the upper trunk of the brachial plexus causes loss of upper limb abduction from 0-15 degrees and weakened lateral rotation. (True)
  5. Complete injury to the posterior cord of the brachial plexus causes loss of medial rotation of the arm. (False)
  6. Injury to the lower subscapular nerve weakens medial rotation and adduction of the arm. (True)
  7. Injury to the middle subscapular nerve weakens extension and medial rotation of the arm> (True)
  8. Injury to the upper subscapular nerve weakens medial rotation of the arm and protraction of the scapula. (False)
  9. Injury of the axillary nerve weakens all movements at the glenohumeral joint. (True)
  10. Injury to the medial pectoral nerve weakens depression of the scapula.
arrowbup Top arrowbdown Bottom

Lecture 24: Arm - M. Johnson

Essay - Handwritten Prose. 10 Points Each.

  1. The biceps brachii muscle is the most powerful supinator. Discuss the anatomy of the anterior compartment of the arm, including boundaries, contents, musculature, vascular supply, innervation, lymphatics and relationships.
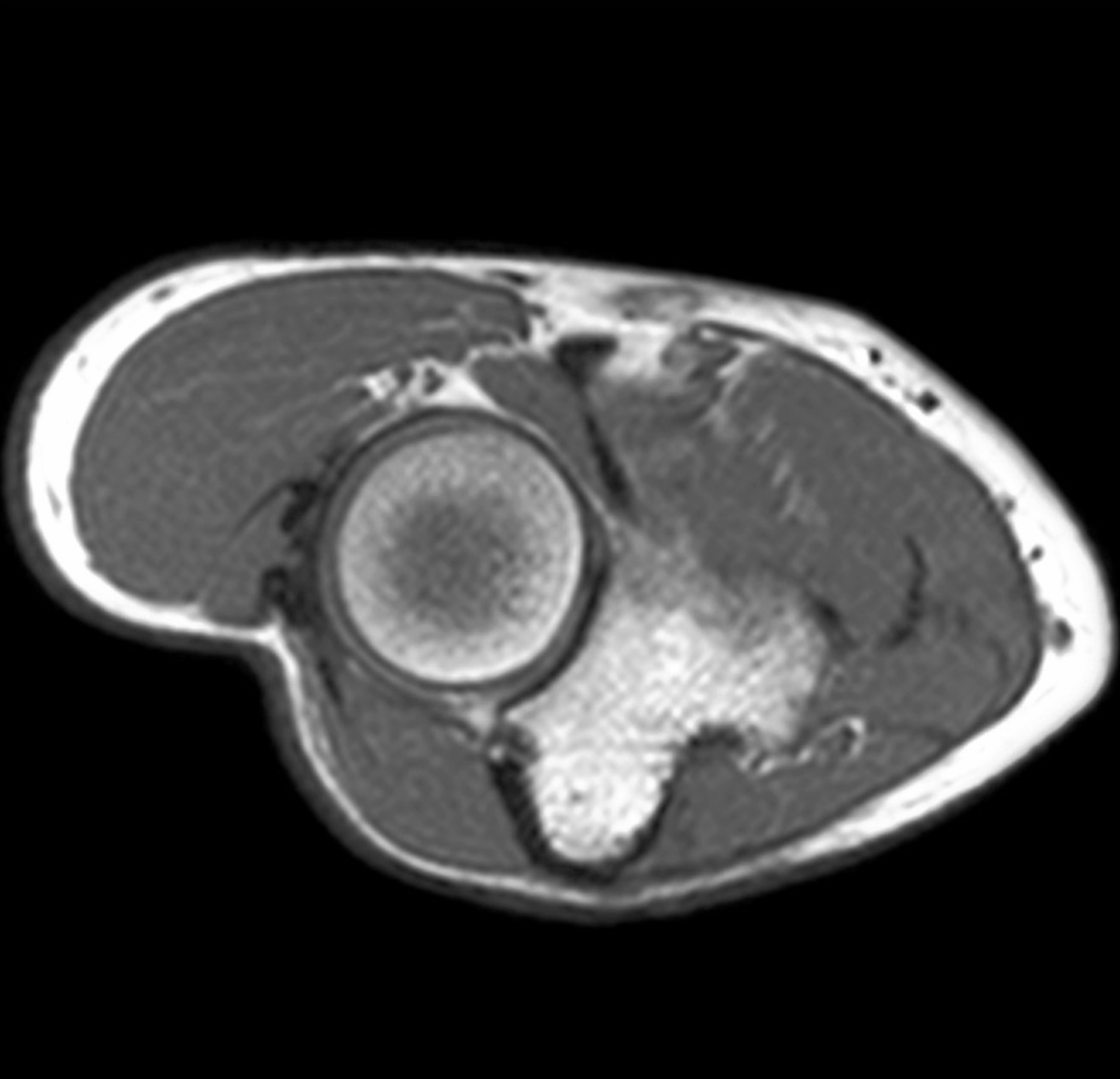
  2. A 27-year old patient suffers a humeral shaft fracture at the radial groove. Discuss the anatomy of the posterior compartment of the arm, including boundaries, contents, musculature, vascular supply, innervation, lymphatics and relationships. Differentiate between motor deficits of posterior arm and posterior forearm musculature relative to branching of the radial nerve superior and inferior to the radial groove.
  3. The coracoid process of the scapula provides an attachment site for several structures. Discuss the anatomy of the coracoid process, including muscle and ligamentous structures, and relationships.

True/False. 1 Point Each.

  1. The coracoid process is a site of attachment for three true ligaments and one false ligament. (True)
  2. The coracoid process is a site of origin for two muscles and a site of insertion for one muscle. (True)
  3. When the scapula is fixed, the pectoralis minor muscle has a functional reversal of origin and insertion that causes movement of inspiration. (True)
  4. The long head of the biceps brachii passes within the glenohumeral joint capsule, but not within the synovial cavity. (True)
  5. When the forearm is supinated, the radial tuberosity faces posterior. (False)
  6. The coracobrachialis muscle adducts the arm and flexes the elbow. (False)
  7. Complete damage to the musculocutaneous nerve causes loss of flexion at the elbow. (False)
  8. Complete damage to the median nerve causes loss of flexion at the elbow. (False)
  9. Complete damage to the musculocutaneous and median nerves causes loss of flexion at the elbow. (False)
  10. Complete damage to the musculocutaneous, median, and radial nerve causes loss of flexion at the elbow. (False)
  11. Complete damage to the musculocutaneous, median, radial, and ulnar nerves causes loss of flexion at the elbow. (True)
  12. Paralysis of the brachioradialis muscle weakens flexion of the forearm and extension of the hand. (False)
  13. The brachialis muscle extends the arm and flexes the forearm. (False)
  14. The long head of the triceps defines a medial border of the quadrangular space and a lateral border of the triangular space. (True)
  15. The lateral head of the triceps arises lateral and superior to the spiral grove. (True)
arrowbup Top arrowbdown Bottom

Lecture 25: Cubital Fossa - N. Morales

Essay - Handwritten Prose. 10 Points Each.

  1. Discuss the boundaries and contents of the cubital fossa. Include fascial specializations, relationships, vasculature, innervation, lymphatics, and clinical significance.

True/False. 1 Point Each.

  1. The median cubital vein passes superficial to the bicipital aponeurosis and the brachial artery passes deep to the bicipital aponeurosis. (True)
  2. The superior ulnar collateral artery anastomosis with the anterior ulnar recurrent artery within the cubital fossa. (False)
  3. The middle collateral artery anastomoses with the interosseous recurrent artery within the cubital fossa. (False)
  4. The superior ulnar collateral artery anastomoses with the posterior ulnar recurrent artery within the ulnar canal. (False)
  5. The inferior ulnar collateral artery anastomoses with the anterior ulnar recurrent artery within the cubital fossa. (True)
  6. The radial collateral artery anastomoses with the radial recurrent artery within the cubital fossa.
  7. The ulnar artery passes passes deep to both heads of pronator teres. (True)
  8. The median nerve passes deep to the humeral head and superficial to the ulnar head of pronator teres. (True)
  9. The radial artery passes superficial to both heads of pronator teres.
  10. Entrapment of the median nerve within the pronator teres muscle causes numbness of the distal and proximal regions of the palm. True.
arrowbup Top arrowbdown Bottom

Lecture 26: Flexor Region of the Forearm - Dr. Evey, G. Francis, and G. Kincheloe

Essay - Handwritten Prose. 10 Points Each.

  1. A 54-yr-old woman presents with atrophy of the thenar eminence and a lack of sensation on the palmar surface of the radial 3.5 digits. Testing confirms carpal tunnel syndrome with a positive Phalen’s test and Tinel’s test. Describe the boundaries and contents of the carpal tunnel. In your answer, be sure to include the function and innervation of the muscles whose tendons pass through the carpal tunnel. (G. Francis)
  2. A patient enters the Emergency Department with a knife wound superior to the cubital fossa. The median nerve is lacerated. Describe the effects of injury to the median nerve at a location proximal to the cubital fossa. Include muscles affected, potential weakened actions, and position of the fingers after the patient is asked to make a fist.
  3. Discuss the anatomy of the flexor region of the forearm, including boundaries, contents, musculature, vascular supply, innervation, lymphatics and relationships.

True/False. 1 Point Each.

  1. The common flexor tendon arises from the medial epicondyle of the humerus. (True)
  2. Muscles having heads of origin from the common extensor tendon act at the elbow and at the wrist. (True)
  3. The ulnar nerve enters the forearm by entering the cubital canal and passing between the heads of origin of flexor carpi ulnaris. (True)
  4. The median nerve enters the forearm by passing between the heads of origin of pronator teres. (True)
  5. The radial artery enters the forearm by passing between brachioradialis and pronator teres. (True)
  6. The superficial radial nerve enters the forearm by passing between flexor carpi radialis longus and brevis. (True)
  7. The deep radial nerve enters the forearm by passing between the superficial and deep heads of supinator. (True)
  8. The radial artery enters the dorsum of the hand by circling the scaphoid bone deep to the tendons of abductor pollicis longus and extensor pollicis brevis. (True)
  9. The tendon of flexor carpi radialis enters the palm by passing through the carpal tunnel. (False)
  10. The tendon of flexor pollicis longus enters the palm by passing through the carpal tunnel. (True)
  11. The pisiform bone is a sesamoid bone within the tendon of flexor carpi ulnaris and together with the pisohamate ligament is a site of origin for abductor digiti minimi. (True)
  12. The median nerve enters the hand by passing through the carpal tunnel. (True)
  13. The recurrent median nerve branches from the median nerve near the distal extent of the carpal tunnel. (True)
  14. The ulnar nerve and artery enter the palm by entering Guyon canal (ulnar canal) passing lateral to the pisiform bone and medial to the hook of the hamate. (True)
  15. The palmar branch of the median nerve does not pass through the carpal tunnel and, thus, is spared in the case of carpal tunnel syndrome. (True)
  16. The distribution of the palmar branch of the median nerve is disturbed by pronator teres syndrome. (True)
arrowbup Top arrowbdown Bottom

Lecture 27: Palm of Hand - Dr. Evey and G. Francis

Essay - Handwritten Prose. 10 Points Each.

  1. 34-yr-old male presents to the clinic with diminished sensation and paresthesia of the medial 1.5 digits. The patient just returned from a long distance cycling race. Describe the anatomy of Guyon’s canal. What major motor deficits would the patient present with for compression of Guyon’s canal? Include in your answer the named branches of the nerve involved and why the patient would be able to perceive sensation for the majority of the dorsum of the hand, but have diminished sensation for the nailbeds of the medial 1.5 digits. (G. Francis)
  2. Discuss the anatomy of the palm; including boundaries, contents, musculature, vascular supply, innervation, lymphatics and relationships.
  3. Discuss the anatomy of the thenar eminence; including boundaries, contents, musculature and movements, vascular supply, innervation, lymphatics and relationships.

True/False. 1 Point Each.

  1. All but five intrinsic muscles of the hand are innervated by the ulnar nerve. (True)
  2. The lumbricals and interossei act synergistically to flex the metacarpal phalangeal joint while holding the interphalangeal joints in extension. (True)
  3. Injury to the ulnar nerve within the cubital tunnel causes less clawing of the fingers than does ulnar nerve injury within the ulnar canal (Guyon canal). (True)
  4. Injury to the recurrent median nerve, in time, causes the appearance of ape hand. (True)
  5. Dorsal interossei are bipennate and palmar interossei are unipennate. (True)
  6. The palmar proper digital nerves supply the dorsum of the fingers at the nail beds. (True)
  7. The surface projection of the superficial palmar arch is distal to the projection of the deep palmar arch. (True)
arrowbup Top arrowbdown Bottom

Lecture 28: Extensor Region of Forearm and Dorsum of Hand - Dr. Evey

Essay - Handwritten Prose. 10 Points Each.

  1. Discuss the anatomy of the anatomical snuffbox; including boundaries, contents, musculature, vascular supply, innervation, lymphatics and relationships.
  2. Discuss the anatomy of the extensor region of the forearm; including boundaries, contents, musculature, vascular supply, innervation, lymphatics and relationships.
  3. Discuss the anatomy of the dorsum of the hand; including boundaries, contents, musculature, vascular supply, innervation, lymphatics and relationships.

True/False. 1 Point Each.

  1. The posterior interosseous nerve enters the posterior arm with the posterior interosseous artery by passing the superior free edge of the interosseous membrane. (False)
  2. The anterior interosseous artery contributes to the dorsal carpal arterial rete. (True)
  3. The anterior interosseous nerve contributes to carpal joint sensation on the palmar side and the posterior interosseous nerve contributes on the dorsal side. (True)
  4. Muscles having heads of origin from the common extensor tendon act to extend a the elbow and extends at the wrist. (True)
  5. Brachioradialis flexes at the elbow and extends at the wrist. (False)
  6. Tenderness at the floor of the anatomical snuffbox indicates injury to the scaphoid bone. (True)
  7. The radial artery leaves the dorsum of the hand to enter the palm by passing between the heads of origin of the first dorsal interosseous muscle. (True)
  8. The common extensor tendon and intertendinous slips limit independent movement for extension of the fingers. (True)
  9. Branches of the superficial radial nerve are palpable as they cross the superficial surface of extensor pollicis longus. (True)
  10. The common extensor tendon for the index finger receives a dorsal interosseous, a palmar interosseous, the first lumbrical, extensor indicis, and extensor digitorum. (True)
arrowbup Top arrowbdown Bottom

Lecture 29: Shoulder and Elbow Joints - Separation, Dislocation, Rotator Cuff Tear, Tommy John - M. Johnson

Essay - Handwritten Prose. 10 Points Each.

  1. A shoulder separation and a shoulder dislocation occur at different joints. Review the anatomy of the acromioclavicular joint. Include bones, articulations, ligaments, capsules, cavities, movements and limitations of movement, and relationships.
  2. The shoulder joint has extreme mobility paired with inherent instability. Review the anatomy of the glenohumeral joint. Include bones, articulations, ligaments, capsules, cavities, contents, muscles, movements and limitations of movements, vasculature, lymphatic drainage, innervation, and relationships.
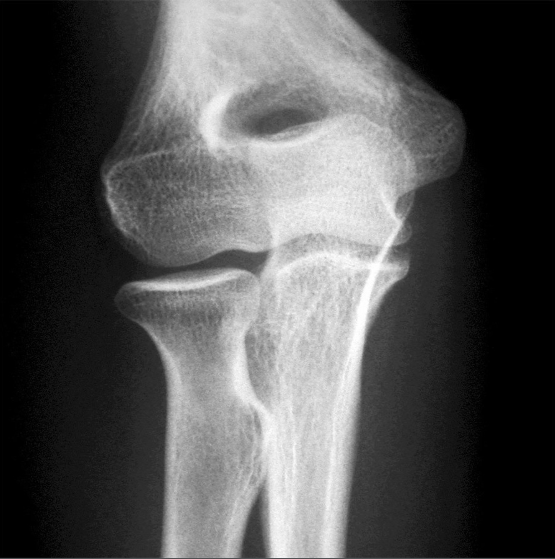
  3. The elbow joint consists of three joints: the humeroradial, humeroulnar, and proximal radioulnar joints. Review the anatomy of the elbow joint. Include bones, articulations, ligaments, capsules, movements and limitations of movements. Relate the anatomy of the medial ulnar collateral ligament to Tommy John surgery.

True/False. 1 Point Each.

  1. The clavicle is suspended from above by the trapezius and sternocleidomastoid muscles. Thus, a downward blow to the lateral margin of the acromion might rupture the acromioclavicular, trapezoid, and conoid ligaments resulting in a shoulder separation. (True)
  2. An increase in joint mobility is paired with a decrease in joint stability. (True)
  3. The conoid ligament is medial to the trapezoid ligament and lateral to the superior transverse scapular ligament. (True)
  4. The "empty can" (oil can) test demonstrated by Dr. Bollard tests for either supraspinatus tendon tear (rotator cuff tear) or injury to the suprascapular nerve. (True)
  5. The subacromial bursa does not normally communicate with the glenohumeral synovial joint cavity except in the case of a rotator cuff tear involving the supraspinatus muscle. (True)
  6. The synovial sheath for the tendon of origin of the long head of the biceps within the bicipital groove is a diverticulum of the glenohumeral synovial joint cavity. (True)
  7. A rupture of the tendon of origin for the long head of the biceps often injures the glenoid labrum. (True)
  8. The glenohumeral joint capsule is relatively lax at the inferior margin. Thus, the initial movement of a shoulder dislocation tends to be downward. (True)
  9. The glenohumeral ligaments are internal thickenings of the anterior wall of the glenohumeral joint capsule. (True)
  10. Impingement of the shoulder joint commonly occurs between the greater tubercle and the coracoacromial arch. (True)
  11. On full flexion of the elbow, the coronoid process resides in the coronoid fossa and the radial head resides in the radial fossa. (True)
  12. On full extension of the elbow, the olecranon process resides in the olecranon fossa. (True)
  13. The lateral margins of the radial head articulates with the radial notch of the ulna. (True)
  14. The head of the radius articulates with the capitulum of the humerus and the trochlear notch of the ulna articulates with the trochlea of the humerus. (True)
  15. The medial collateral ligament of the elbow consists of anterior, posterior, and inferior bands (thickenings). (True)
  16. The lateral collateral ligament of the elbow includes a radial collateral ligament and a lateral ulnar collateral ligament. (True)
  17. The radial collateral ligament blends with the annular ligament. (True)
  18. Supination and pronation occurs at the proximal radioulnar joint. (True)
  19. The fiber direction of the interosseous membrane from high lateral (radius) to low medial (ulna) causes close-packing of the proximal radioulnar joint when there is proximal displacement of the radius. (True)

arrowbup Top arrowbdown Bottom

Lecture 30: Wrist and Finger joints - Ape Hand, Claw Hand, Ulnar Paradox - M. Pearce-Clawson

Essay - Handwritten Prose. 10 Points Each.

  1. A 36 year old receptionist arrives at your clinic complaining of loss of sensation on the lateral side of her hand as well as decreased functionality of her hand. Upon observation you note that her resting hand is displaying the ape hand deformity. After running several tests you confirm that the patient has carpal tunnel syndrome. Explain the anatomy associated with the ape hand deformity. In your answer include the nerve(s) affected, areas of sensory deficits, muscles affected, and the signs that were present indicating the ape hand deformity.

True/False. 1 Point Each.

  1. Ulnar nerve injury at the cubital canal causes the resting position of the wrist to be abducted and extended. (True)
  2. Ulnar nerve injury at the cubital canal causes, in time, clawing of fingers 2 - 5 (extension at the metacarpophalangeal joint and flexion at the interphalangeal joints). (True)
  3. Median nerve injury within the axilla cause the resting position of the wrist to be adducted and extended. (True)
  4. Radial nerve injury at the spiral groove cause the resting position of the wrist to be adducted and flexed. (True)
  5. Questions 2-4 can be reasoned by subtracting the the perturbed vectors for each injury. The normal wrist is in a neutral position at rest (not asleep though). (True)
  6. Recurrent median nerve injury, in time, due paralysis of opponens pollicis, causes the thumb to supinate and align the volar surface of the thumb with the volar surfaces with the fingers - ape hand. (True)
  7. A patient, when asked to make a fist, flexes the ulnar two fingers and "extends" the radial two fingers - sign of benediction; an indication of median nerve injury proximal to the cubital fossa. (True)
  8. The radiocarpal joint is between the radius, proximally and the scaphoid and lunate, distally. The triquetrum does not articulate in radiocarpal joint. (True)
  9. An articular disk, part of the triangular fibrocartilaginous complex (TFCC), limits adduction of the wrist by intervening between the distal ulna and the triquetrum. (True)
  10. All of the lumbricals and interossei cross the palmar (anterior) side of the transverse axis of the metacarpophalangeal joints prior to inserting on the common extensor hood; flex the MP and extend the IPs. (True)
arrowbup Top arrowbdown Bottom

Lecture 31: Thoracic Wall, Intercostal Spaces, Movements of Respiration, Coarctation - N. Morales

Essay - Handwritten Prose. 10 Points Each.

  1. Movement of the thoracic wall is required for respiration. Discuss the anatomical basis for expansion along the anterior/posterior axis of the thorax known as pump handle movement. Also discuss the anatomical basis of expansion along the transverse axis of the thorax that is known as bucket handle movement.
  2. Discuss the anatomy of the anterior thoracic wall. Be sure to include structures, relationships, vasculature, innervation (both motor and sensory), lymphatics, and clinical significance.
  3. Describe the structures, functions, contents, relationships, and clinical significance of the intercostal spaces.

True/False. 1 Point Each.

  1. Thoracic outlet syndrome refers to compression of structures between the clavicle and first rib or in the interscalene triangle; notably roots and trunks of the brachial plexus and the subclavian vessels. (True)
  2. The shift away from checked baggage toward carry-on baggage predicts a higher incidence of thoracic outlet syndrome. (True)
  3. The costovertebral, costotransverse, and sternochondral joints are synovial and the costochondral and interchondral joints are fibrocartilaginous. (True)
  4. For typical ribs, the costovertebral joints are synovial articulations between the head of a rib and two vertebral bodies, the vertebral body superior to the rib number and the vertebral body representing the rib number, and the intervertebral disk. (True)
  5. The transverse facets for the upper costotransverse joints are cup shaped and allow rotation to accommodate the "pump-handle" movement of respiration. (True)
  6. The transverse facets for the lower costotransverse joints are planar and allow sliding to accommodate the "bucket-handle" movement of respiration. (True)
  7. Costochondritis mimics heart disease. (True)
  8. The later stages of pregnancy limit diaphragmatic movement and, thus, expansion of the thoracic cavity in the longitudinal axis. This leads to a greater reliance on thoracic wall movements. (True)
  9. Paradoxical movement of the hemiparalyzed diaphragm on inspiration is explained by negative pressure causing the paralyzed hemidiaphragm to raise. (True)
  10. The two-finger procedure involves placing two fingers in parallel to the ribs defining an intercostal space and then placing the needle between the two fingers. This procedure avoids injuring the intercostal vessels and nerves and the collateral vessels. (True)
  11. The external intercostal muscle becomes membranous in the parasternal region and the internal intercostal muscles become membranous in the paravertebral region. (True)
  12. The subcostal, innermost intercostal, and transversus thoracis muscles all define the same fascial layer and contribute the deep fascial layer of the neurovascular plane. (True)
  13. The intercostobrachial nerve is the lateral cutaneous branch of T2 and credited for having a role in referred pain to the medial arm during myocardial ischemia. (True)
  14. Coarctation of the aorta (narrowing or occlusion) in the region of ligamentum arteriosum limits delivery of blood to the descending aorta. (True)
  15. Coarctation of the aorta changes the normal pattern of collateral circulation so that the posterior intercostal arteries supply retrograde blood flow to the descending aorta. (true)
  16. The azygos system and the portal system both drain the intraluminal region of the distal esophagus. Liver disease may cause portal hypertension that leads to retrograde flow in the azygos drainage. The result is esophageal varices. (True)
arrowbup Top arrowbdown Bottom

Lecture 32: Pleural Cavities and Lungs, Potential Spaces, Recesses, Impressions, Pleural Tap - N. Morales

Essay - Handwritten Prose. 10 Points Each.

  1. Discuss the anatomy of the lungs, include relationships, stabilization, vasculature, innervation, lymphatic drainage, and clinical significance.
  2. Enlarged bronchopulmonary lymph nodes may lead to a variety of symptoms known as middle lobe syndrome. Discuss the anatomy of the hilum of the right lung and discuss the symptoms that may result from enlargement of the bronchopulmonary lymph nodes.

True/False. 1 Point Each.

  1. A transverse penetration of the inferior cervical region, near the thoracic inlet, can cause pneumothorax. (True)
  2. Reflections of parietal pleura create recesses that are not hosting visceral pleura and associated lung tissue. (True)
  3. The costodiaphragmatic recess can be accessed at the 9th intercostal space to perform thoracentesis without risk of damaging lung tissue. (True)
  4. The pleural cavities, but not the pulmonary cavities, are potential spaces that are evacuated except for a small amount of serous fluid to mitigate friction. (True)
  5. In the case of pneumothorax, hemothorax, or pleural effusion; the pleural cavity is no longer a potential space and has become a filled space. (True)
  6. The parietal pleura is adhered to the thoracic walls by endothoracic fascia and the visceral pleura is held to the parietal pleura by surface tension and negative pressure. (True)
  7. The suprapleural membrane (Simpson's fascia) is a thickening of endothoracic fascia at the apex of the pleural cavity and receives muscle attachments from the scalene muscles to stabilize the longitudinal axis of pleural cavities on inspiration. (True)
  8. Pericardiocentesis can be performed without risk if pneumothorax by inserting a needle between the leaflets of the inferior sternoparicardial ligament. This can be done to the left side of the xiphisternal junction. (True)
  9. The lingula is a tongue like extension from the inferior margin of the upper lobe of the left lung and is thought to be a remnant of a middle lobe of the left lung. (True)
  10. The pulmonary ligament diverges at the hilum of the lung to cradle the inferior pulmonary vein. (True)
  11. Pulmonary veins are intersegmental; pulmonary and bronchial arteries are segmantal. (True)
  12. Accumulation of carbon particles can be observed in the subpleural lymphatic plexus and reflects whether a person lived in an urban or rural area or was a smoker. (True)
  13. Enlargement of the hilar nodes of the left lung can cause middle lobe syndrome. (False)
  14. Visceral afferent fibers (GVA) that convey nociceptive signals (high threshold) from the lungs have cell bodies in the dorsal root ganglia of T1-T4. (True)
  15. A perturbed lung refers pain to the T1-T4 dermatomal regions. (True)
  16. Visceral afferent fibers (GVA) that convey physiological signals (low threshold) from the lungs have cell bodies sensory nucleus for the vagus nerve (nucleus tractus solitarius). (True)
arrowbup Top arrowbdown Bottom

Lecture 33: Mediastinum and Pericardium - N. Yoshioka

Essay - Handwritten Prose. 10 Points Each.

  1. A 35 year old male presents to your clinic with cardiac tamponade after a car accident and you perform pericardiocentesis at the 5th-6th intercostal space. Discuss the anatomy of the pericardium, including attachments, stabilization, sinuses, relevant relationships, innervation, and blood supply. Describe the placement of the needle and the layers pierced during the pericardiocentesis procedure.
  2. A 65 year old male presents to your clinic complaining of severe chest pain that radiates to his medial arm, and is diagnosed with a myocardial infarction, treated with coronary artery bypass surgery. During the surgery, clamping of the aorta and pulmonary trunk is performed at the transverse pericardial sinus. Describe the development of the pericardial cavity and pericardial sinuses. Include boundaries of the middle mediastinum and relevant developmental events, including germ layer derivatives. Explain the innervation to the layers of serous and fibrous pericardium and how the descent of the heart during development contributes to the location of these nerves in the thoracic cavity. Explain the location of the patient’s referred pain.

True/False. 1 Point Each.

  1. Perturbation of the myocardium (myocardial ischemia) that does not affect the serous parietal pericardium refers pain to the medial aspect of the upper limb (intercostobrachial nerve territory). (True)
  2. Perturbation of the visceral and parietal pericardium (pericarditis) refers pain to the medial aspect of the upper limb and to the base of the neck (supraclavicular nerve territory) and. (True)
  3. The bare area of the pericardium allows a needle to be placed into the pericardial cavity during pericardiocentesis, without risk of puncturing the pleural cavities. (True - NAY)
  4. Neck pain during cardiac tamponade is due to nociceptive (pain) information from compression of the myocardium follows sympathetic pathways. (False. NAY)
  5. The phrenic nerve and pericardiacophrenic vessels run anterior to the root of the lung in the pericardial sac, between the fibrous and serous parietal layer of pericardium. (False - NAY)
  6. The heart descends to the thoracic region during development, pulling the phrenic and cardiac nerves from the cervical region. (True - NAY)
  7. The transverse and oblique cardiac sinuses are formed from reflections of serous pericardium onto the great vessels within the pericardial sac. (True - NAY)
  8. The transverse thoracic plane is indicated by a line passing through the sternal angle and the intervertebral disk of T4-T5. (True)
  9. The left leaflet of the inferior sternoparicardial ligament deviated to the left more so than the right leaflet deviates to the right. This observation reflects the region of the cardiac notch. (True)
  10. The base of the heart rests on the superior surface of the diaphragm. (False. I hate this question. Probably should use it.)
  11. A rapid accumulation of fluid in the pericardial cavity leads to cardiac tamponade and likely death. (True. "Who wants to take a stab at it?")
  12. The pericardial cavity is a potential space and the pericardial sac is a filled space. (True)
  13. The pericardiacophrenic vessels and the phrenic nerve pass along the outside lateral margin of the fibrous pericardial sac; between the sac and the mediastinal pleura; traveling with the endothoracic fascia. (True)
arrowbup Top arrowbdown Bottom

Lecture 34: External Heart - G. Kincheloe

Essay - Handwritten Prose. 10 Points Each.

  1. An 63 year old man has a heart arrhythmia. Upon further investigation, an angiogram shows an occlusion of the proximal right coronary artery. Why would this potentially cause arrhythmia? Discuss the anatomy and relationships of the right coronary artery and branches as well as the complementary venous drainage. Include mention of any commonly seen anatomical variances, if any.
  2. A patient is shown to have a partial occlusion of their anterior interventricular artery (left anterior descending artery). Discuss the anatomy and relationships of the left coronary artery and branches as well as the complementary venous drainage. Why is an occlusion in this artery especially dangerous and what potential surgical solutions can be used as treatment? Include mention of commonly seen anatomical variances, if any.

True/False. 1 Point Each.

  1. Epicardial fat (subepicardial fat) is found superficial to myocardium and deep to visceral serious pericardium (epicardium). (True)
  2. The coronary sinus drains most of the venous blood from the myocardium and empties into the right atrium. (True)
  3. The anterior cardiac veins drain directly into the right atrium and, thus, do not first drain into the coronary sinus. (True)
  4. The left coronary artery gives rise to the anterior interventricular artery and this artery, in turn, supplies the anterior two thirds of the interventricular septum (widow maker). (True)
  5. Left or right dominance of the heart is determined by whether the right or the left coronary artery supplies the posterior interventricular artery. (True)
  6. Blockage of the right coronary artery proximal to the sinuatrial branch indicates the need to implant a pacemaker. (True)
arrowbup Top arrowbdown Bottom

Lecture 35: Internal Heart - G. Francis

Essay - Handwritten Prose. 10 Points Each.

  1. A 72-year-old male presents with shortness of breath and chest pain. Transesophageal echocardiogram reveals severe aortic stenosis. Describe the anatomy of the aortic semilunar valve and compare it to the other valves of the heart. Include locations, function, and structures associated with each valve of the heart.

True/False. 1 Point Each.

  1. The fossa ovalis is a characteristic of the right atrium and the valve of foramen ovale is a characteristic of the left atrium. (True)
  2. The myocardium of the left ventricle is two to three times thicker than the myocardium of the right ventricle. (True)
  3. Chordae tendineae from a single papillary muscle span multiple cusps. (True)
  4. The papillary muscles do not close the atrioventricular valves. Instead, the papillary muscles and the chordae tendineae hold the valves closed by preventing eversion of the cusps into the atria. (True)
  5. The walls of the left atrium are smooth except for the pectinate muscle in the left auricle.
  6. For the left dominate heart; the sinuatrial node is supplied by the right coronary arterial distribution and the atrioventricular node is supplied by the left coronary arterial distribution. (True)
  7. The septomarginal trabecula "points the way" to the anterior papillary muscle of the right ventricle. (True)
  8. Pectinate muscle is of the atria and trabeculae carneae is of the ventricles. (True)
  9. The tricuspid valve is of the right ventricle and the bicuspid (mitral) valve is of the left ventricle. (True)
  10. There is a valve of the inferior vena cava in the right atrium but there is not a valve of the superior vena cava. The absence of a valve for the superior vena cava is thought to reflect a bipedal heritage. (True)
  11. The coronary arteries are supplied by blood that pools in the right and left aortic sinuses during diastole. (True)
  12. A patent foramen ovale (PFO) might be asymptomatic. Nonetheless, a PFO increases the probability of stroke secondary to venous thrombosis. (True)
arrowbup Top arrowbdown Bottom

Lecture 36: Superior Mediastinum and Posterior Mediastinum - C. Werner and D. Mehay

Essay - Handwritten Prose. 10 Points Each.

  1. Describe the course of the esophagus in the thoracic cavity. Discuss four areas of constrictions of the esophagus in the thorax, include vasculature, nerves, and relationships.
  2. A group of PA students discover a tumor in the posterior mediastinum. Discuss structures, nerves, viscera, lymphatics, vasculature, relationships and boundaries of the posterior mediastinum.

True/False. 1 Point Each.

  1. The left recurrent laryngeal nerve ascends around the aortic arch at a location immediately posterior to the ligamentum arteriosum. (True)
  2. An aneurysm of the aortic arch may first become symptomatic as hoarseness secondary to paralysis of the left vocal cord. (True. A recent Hershey PA graduate saved someone's life with this knowledge prior to graduating.)
  3. The pericardiacophrenic arteries are branches of the internal thoracic arteries. Good to know when using the internal thoracic artery for coronary bypass. (True)
  4. Typically, the trachea bifurcates at the level of the fourth thoracic vertebra. (True)
  5. The right posterior intercostal arteries, but not the left, cross the anterior margin of the thoracic vertebral bodies. (True)
  6. The thoracic duct ascends cradled by the aorta to the left, the azygos vein posterior and to the right, and by esophagus to the left (depending on vertebral level) and anterior. (True)
  7. The esophageal plexus intervenes between the left and right vagal nerves and the anterior and posterior vagal trunks. (True)
  8. A penetrating injury to the manubrium as apt to be lethal (ascending aorta). (True)
  9. Rami communicantes radiate from the posterior margin of thoracic sympathetic trunk ganglia. Thoracic splanchnic nerves radiate from the anterior margin of thoracic sympathetic trunk ganglia. (True)
  10. Rami communicantes travel posterior from sympathetic trunk ganglia to communicate with spinal nerves. Thoracic splanchnic nerves travel anterior, medial, and inferior from sympathetic trunk ganglia. (True)
arrowbup Top arrowbdown Bottom

Lecture 37: Autonomic Nervous System - J. Radler

Essay - Handwritten Prose. 10 Points Each.

  1. Describe the paths of sympathetic & parasympathetic innervation to the thoracic viscera.
  2. Explain the anatomical basis of referred pain from the heart

True/False. 1 Point Each.

  1. Question pertaining to the autonomic nervous system are included for many of the lectures. We have much additional study of the autonomic nervous system to complete. Expect copious numbers of additional questions regarding the autonomic nervous system as we continue with our studies in the Fall.
arrowbup Top arrowbdown Bottom

Lecture 38: Clinical Correlate (Dr. Bollard)

Essay - Handwritten Prose. 10 Points Each.

True/False. 1 Point Each.

arrowbup Top arrowbdown Bottom
arrowbup Top

Topic attachments
I Attachment Action Size Date Who Comment
IMG_0421.jpgjpg IMG_0421.jpg manage 392 K 09 Aug 2022 - 20:14 AlexisScudder  
IMG_0423.jpgjpg IMG_0423.jpg manage 314 K 09 Aug 2022 - 20:14 AlexisScudder  
IMG_0425.jpgjpg IMG_0425.jpg manage 144 K 09 Aug 2022 - 20:14 AlexisScudder  
IMG_0427.jpgjpg IMG_0427.jpg manage 344 K 09 Aug 2022 - 20:14 AlexisScudder  
IMG_0429.jpgjpg IMG_0429.jpg manage 238 K 09 Aug 2022 - 20:14 AlexisScudder  
IMG_0431.jpgjpg IMG_0431.jpg manage 285 K 09 Aug 2022 - 20:14 AlexisScudder  
IMG_0435.jpgjpg IMG_0435.jpg manage 208 K 09 Aug 2022 - 20:14 AlexisScudder  
IMG_0436.jpgjpg IMG_0436.jpg manage 275 K 09 Aug 2022 - 20:14 AlexisScudder  
IMG_0438.jpgjpg IMG_0438.jpg manage 208 K 09 Aug 2022 - 20:14 AlexisScudder  
IMG_0440.jpgjpg IMG_0440.jpg manage 310 K 09 Aug 2022 - 20:14 AlexisScudder  
IMG_0442.jpgjpg IMG_0442.jpg manage 230 K 09 Aug 2022 - 20:14 AlexisScudder  
IMG_0444.jpgjpg IMG_0444.jpg manage 214 K 09 Aug 2022 - 20:14 AlexisScudder  
IMG_0446.jpgjpg IMG_0446.jpg manage 482 K 09 Aug 2022 - 20:14 AlexisScudder  
IMG_0448.jpgjpg IMG_0448.jpg manage 191 K 09 Aug 2022 - 20:14 AlexisScudder  
IMG_0450.jpgjpg IMG_0450.jpg manage 206 K 09 Aug 2022 - 20:14 AlexisScudder  
IMG_0452.jpgjpg IMG_0452.jpg manage 156 K 09 Aug 2022 - 20:14 AlexisScudder  
IMG_0454.jpgjpg IMG_0454.jpg manage 312 K 09 Aug 2022 - 20:14 AlexisScudder  
IMG_0456.jpgjpg IMG_0456.jpg manage 222 K 09 Aug 2022 - 20:14 AlexisScudder  
IMG_0458.jpgjpg IMG_0458.jpg manage 413 K 09 Aug 2022 - 20:14 AlexisScudder  
IMG_0460.jpgjpg IMG_0460.jpg manage 393 K 09 Aug 2022 - 20:14 AlexisScudder  
IMG_0462.jpgjpg IMG_0462.jpg manage 309 K 09 Aug 2022 - 20:14 AlexisScudder  
IMG_0466.jpgjpg IMG_0466.jpg manage 309 K 09 Aug 2022 - 20:14 AlexisScudder  
IMG_1234.JPGJPG IMG_1234.JPG manage 787 K 09 Aug 2022 - 20:15 AlexisScudder  
IMG_5678.jpgjpg IMG_5678.jpg manage 538 K 09 Aug 2022 - 20:14 AlexisScudder  
This topic: Main > WebHome > PhysicianAssistantHome > PhysicianAssistantUpperLimbThoraxWrittenPool2021
Topic revision: 17 Aug 2022, AlexisScudder
This site is powered by FoswikiCopyright © by the contributing authors. All material on this collaboration platform is the property of the contributing authors.
Ideas, requests, problems regarding Structural Basis of Medical Practice? Send feedback